罗医科普
        
            什么是精查胃镜?        
        
            来源: 德阳市罗江区人民医院    发布时间:2019-08-28    浏览次数:31302次 
        
        
            
       流行病学调查显示,胃癌在我国居各类肿瘤发病率的第二位,我国每年新发胃癌50万例,发病高峰为55-70岁,且有明显年轻化趋势,按照数据分析,罗江地区每年就有125多个新发胃癌。
       胃癌的检出时机有时甚至直接决定患者后期的生存率。对于胃癌的治疗,早期发现是关键。早期胃癌的生存率可达90﹪,而且50﹪以上的早期胃癌可以接受内镜治疗,避免外科手术。
      但是,多数早期胃、食管癌没有独特的表现,只有通过胃镜检查才会得到确切的早期诊断。在日本,超过40岁以上市民的胃、肠镜都要普查一次,因此日本早期胃癌的发现率达70﹪,韩国早期胃癌发现率达65﹪,而我国的这一数字仅为10﹪-15%,在此,也希望我们中国人提高自检意识。
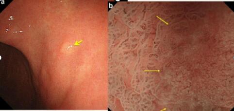
目前,胃镜检查是诊断食管、胃和十二指肠疾病最直接、最可靠的方法。常规的胃镜检查一般使用的是普通白光胃镜,检查时间通常3-5分钟,这种检查方法对于发现普通的胃炎、胃溃疡、胃息肉及中晚期胃癌等疾病已经足够,但是对于早期癌的诊断就力不从心了。因为早期癌的黏膜变化细微,与正常粘膜的高低差、色差不明显,与普通的黏膜糜烂、炎症很难区别。这就难免造成大部分早期癌在普通内镜检查被遗漏,如果进行精查胃镜,这些问题就可以解决。
什么是精查胃镜?
       精查胃镜是最近几年消化界提出的概念,目的是为了提高早期胃癌的识别率。精查胃镜是胃癌早期诊断的重大突破,有益于早期胃癌的发现评估及指导治疗。
简单说就是要求胃镜检查同时进行染色、电子放大、活检病理,在肉眼观察基础上尽量避免漏检。在普通胃镜发现疑似早癌病变不易区分,或通过评估属于胃、食管癌高危人群时,应该进行精查胃镜。
 
	  
 
 
                                                                      普通白光内镜下很难诊断为癌               放大+NBI就能明确诊断
精查胃镜与普通胃镜的区别?
       首先,在人员方面,必须是经过早癌精查培训且经验丰富的内镜医生进行更加细致的检查,这样才能更好的发现病灶并作出合理的检查和判断。有时需要在胃镜下对食管、胃、十二指肠黏膜进行地毯式搜索,一旦发现可疑病灶,再针对性地进行染色、放大、精准活检等手段,使消化道内的各种组织看得清清楚楚(如微血管网结构、微腺管结构等)。因为是“精细”检查的时间会延长些,一般在30分钟以上。
其次,在设备方面,胃镜必须具有高清放大功能,可以进行电子染色,有助于提高胃食管、胃早癌检出率。如发现可疑病变可采用化学及电子染色,并使用放大内镜精查,从而确定病变的具体部位、范围及形态,并详细描述,同时拍照记录。
精查胃镜的适用人群:
        凡是以胃痛、反酸、呃逆、吞咽困难等消化道症状为主诉的病人前来就医,且符合以下第1条和第2--6中任意一条这建议即可作为筛查对象:
1.年龄>40岁,男女不限;
2.胃癌高发地区人群(本区即是);
3.H.Pylori(幽门螺旋杆菌)感染者;
4.患慢性萎缩性胃炎、胃溃疡、胃息肉、残胃、肥厚性胃炎、恶性贫血等胃癌前疾病;
5.胃癌患者一级亲属;
6.存在胃癌其他高危因素,如:高盐、腌制饮食、吸烟(一年吸食两条即20包烟者)、重度饮酒等。
精查胃镜前需要哪些准备?
1.必要采用静脉麻醉,基本消除因不适引起的胃肠道强烈收缩,大大提高检查的精准率。
2.患者检查前一天晚上八点后就要禁食,
3.检查前 15--30分钟口服二甲硅油,检查前 5 分钟口服利多卡因胶浆,以清除上消化道内黏液与气泡,改善视野,提高微小病灶的检出率。
胃镜精查的意义是什么?
       本着“发现一例早癌,挽救一条生命,幸福一个家庭”的宗旨,我们把疾病发现并控制在癌或之前的状态,并加以干预,定期复查,就可以有效阻止中晚期癌症的发生。我国消化道癌患者确诊时多数已为中晚期。早诊断、早治疗就是刻不容缓的事情。
可以这样说,胃镜精查就是一根救命稻草!这项技术的开展造福百姓,是我们义不容辞责任!                             (新盛镇卫生院 先柳帆)
            
            
            
            
            
            
            
                -